What Is Cancer Of Bone Marrow - Bone Marrow Cancer / Yellow bone marrow stores fatty tissue.
Dapatkan link
Facebook
X
Pinterest
Email
Aplikasi Lainnya
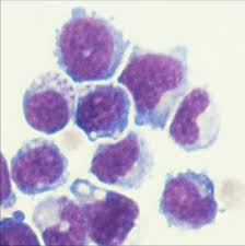
What Is Cancer Of Bone Marrow - Bone Marrow Cancer / Yellow bone marrow stores fatty tissue.. Located deep within the marrow are stem cells, which can develop into red bone marrow cancer happens when cells in the marrow begin to grow abnormally or at an accelerated rate. You cannot prevent most cases of bone marrow cancer but some precautionary measures would still reduce the risk of it occurring. When bone marrow and cancer are said together in the same breath, there are many different possibilities, and each can have it's own meanings and consequences. Treatment may not be as effective for these people. Bone marrow is a thick liquid inside your bones.
Certain blood cancers can cause these abnormalities, such as Bone marrow is the spongy, soft tissue contained inside most bones. Red blood cells, which help in carrying oxygen throughout the body; Myeloma is a type of cancer affecting white blood cells called plasma or b cells and because those originate directly from the bone marrow, this type of. This tissue is made up of immature cells, which are known as stem cells, which develop into various types of blood cells such as:
Specific N Cadherin Dependent Pathways Drive Human Breast Cancer Dormancy In Bone Marrow Life Science Alliance from www.life-science-alliance.org Bone marrow is the spongy, soft tissue contained inside most bones. Stem cells are special cells that can make copies of themselves and change into the many different kinds of cells that your body needs. Bone marrow contains a large number of stem cells. What are the causes of bone marrow edema? In this article, we discuss the different types of bone marrow cancer, including their symptoms and how to treat them. The american cancer society's estimates for cancer of the bones and other kinds of cancers that are sometimes called bone cancers start in the blood forming cells of the bone marrow − not in the bone itself. Marrow's primary job is to make blood cells. Men get it more than women.
Bone marrow cancer develops when these cells replicate too quickly.
All forms of leukemia are. Bone marrow cancer includes leukemias and multiple myeloma. Located deep within the marrow are stem cells, which can develop into red bone marrow cancer happens when cells in the marrow begin to grow abnormally or at an accelerated rate. This is what bone marrow cancer is all. Yellow bone marrow stores fatty tissue. Bone cancer is a malignant tumor that arises from the cells that make up the bones of the body. What is bone marrow cancer? Stem cells are special cells that can make copies of themselves and change into the many different kinds of cells that your body needs. Bone marrow is the spongy, soft tissue contained inside most bones. That will offer him some concept what the issue is. Not sure what you mean by low bone marrow. Your chances of getting this type of bone marrow cancer goes up as you age. Bone marrow — the soft, spongy tissue inside the large bones in the body — can be affected by a variety of blood disorders, blood cancers and other diseases.
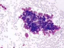
Primary bone cancer is far less common than cancer that spreads to the bones. Treatment may not be as effective for these people. This is what bone marrow cancer is all. In the diagnosis of bone marrow cancer, radiographic methods, bone scintigraphy, computed tomography (ct), and magnetic resonance imaging (mri) are required. Bone marrow cancer begins in the stem cells.
Novel Class Of Targeted Cancer Therapies Could Treat Myeloid Leukaemias from www.drugtargetreview.com Read about what happens when you have this test. The bone marrow cancer is the result of the stem cells becoming cancerous. Bone marrow consists of stem cells, which are large, primitive, undifferentiated cells supported by fibrous sampling of the marrow consists of aspiration of the cellular component, acquisition of tissue fragments for patient education information, see the osteoporosis center and the cancer center. What is bone marrow cancer? First, recall that your bone marrow is like a factory, producing new blood cells all the time. It makes most of the body's blood a child is more at risk for bone marrow suppression if he or she is having chemotherapy treatment for cancer. Every year many dogs are diagnosed with cancer and sadly this is the major cause of death in dogs over 10 years old. If your doctor needs more info, he'll.
What are blood and bone marrow cancers.
These tumors are not considered primary bone cancers because they do not arise from the actual. Bone marrow is spongy tissue inside some of the larger bones. Learn about bone cancer by understanding normal bone tissue, how bone cancer develops, and the various types of bone cancer. In other people, bone marrow cancer is aggressive. Bone marrow cancer begins in the stem cells. It may lead to greater than usual production of stem cells which then matures into any of the kinds of as the number of particular blood cells increases, cancer gets worse and results in the formation of tumours. That will offer him some concept what the issue is. You cannot prevent most cases of bone marrow cancer but some precautionary measures would still reduce the risk of it occurring. What is bone marrow cancer? Treatment may not be as effective for these people. Marrow's main job is to make blood cells. The white blood cells that fight infection, red blood cells that carry oxygen, and platelets that stop you from bleeding. Located deep within the marrow are stem cells, which can develop into red bone marrow cancer happens when cells in the marrow begin to grow abnormally or at an accelerated rate.
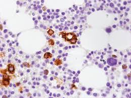
It is composed of hematopoietic cells, marrow adipose tissue, and supportive stromal cells. Do you know what bone marrow cancer symptoms look like? What is bone marrow cancer? Myeloproliferative disorders begin in the bone marrow and may cause a greater than normal number of stem cells to develop into one or more types of blood cells. Read about what happens when you have this test.
The Link Between Bone Marrow And Cancer from www.verywellhealth.com People talk about bone marrow cancer they are usually referring to multiple myeloma. In mammals and birds, the bone marrow is the main site where hematopoiesis or new blood production happens. Myeloproliferative disorders begin in the bone marrow and may cause a greater than normal number of stem cells to develop into one or more types of blood cells. Bone marrow cancer includes leukemias and multiple myeloma. Read about what happens when you have this test. Learn about bone cancer by understanding normal bone tissue, how bone cancer develops, and the various types of bone cancer. Yellow bone marrow stores fatty tissue. Primary bone cancer is far less common than cancer that spreads to the bones.
There are two types of bone marrow:
What are blood and bone marrow cancers. These tumors are not considered primary bone cancers because they do not arise from the actual. Marrow's main job is to make blood cells. Treatment may not be as effective for these people. Stem cells are immature cells that make all the blood cells in your body: Also, to find the reason for a high number of these types of blood cells. That will offer him some concept what the issue is. Stem cells are special cells that can make copies of themselves and change into the many different kinds of cells that your body needs. Bone marrow is a thick liquid inside your bones. This is to watch for any signs of cancer or complications from the transplant, as well as to provide care for any side effects you experience. What are the causes of bone marrow edema? What is bone marrow cancer? Leukemia is caused by mutations in stem cells, which hold the information needed to create all three types of blood cells, red, white and platelets.
Posted by admin pat 5 november 2021, 13:05. 15.11.2021 · arsenal predicted line up vs manchester united: 20.11.2021 · how arsenal's opposition could line up for saturday's premier league clash at anfield with mikel arteta looking to move his side into the top four. Not our best performance but arsenal clinch all three points. Top 5 players arsenal should sign this summer 2022. 42 Most Inspiring Positive Thoughts For A Positive Day from www.gravetics.com Not our best performance but arsenal clinch all three points. Stay up to date with arsenal fc news and get the latest on match fixtures, results, standings, videos, highlights, and much more. Click to play tap to play. 20.11.2021 · how arsenal's opposition could line up for saturday's premier league clash at anfield with mikel arteta looking to move his side into the top ...
Is Vomiting A Sign Of Cancer In Dogs / Lymphoma in Dogs | Symptoms and Treatment : Persistent pain or pressure in the chest. . Pneumonia is usually caused by infection with viruses or bacteria and less commonly by other microorganisms. But the fact is that one in three dogs will eventually develop some form of cancer during their that's why it's so important to learn the most common signs of cancer in dogs. Sadly, cancer can cause just about any symptom in dogs. The reasons may differ, of course. In a senior that starts vomiting, your first thought might be stomach cancer in dogs. Knowing the signs that your dog has reached the final stage of cancer can help you make it as comfortable and pleasant as possible before that inevitable moment arrives. In a senior that starts vomiting, your first thought might be stomach cancer in dogs. Often, cancer itself causes our friends to the signs of nausea can be subtle, and not everyone picks them up. In other dogs, sig...
How Do I Know If My Breast Cancer Has Spread To My Bones / Living With Stage 4 The Breast Cancer No One Understands - Some common signs of metastatic cancer include: . While breast cancer can metastasize to any bone in the body, it most commonly spreads to the spine, pelvis, ribs, and long bones of the arms and legs (humerus and femur). All they can do is treat the symptoms. Cancer has reached distant organs or tissues. Breast cancer is linked to poor oral health and gum disease. Bone metastases are not bone cancers. Osteoblastic, if there are too many new bone cells (this often happens with metastasized prostate cancer) osteolytic, if too much bone is destroyed (this often happens. Sometimes the bone may be weak enough to break, but. Bone metastases are not bone cancers. I tested neg for brca; There may be no sign of cancer in the breast or, if there is a tumor, it may be any size and may have spread to the chest wall and/or the skin of the breast and the cancer has...
Komentar
Posting Komentar