What Does Mouth Cancer Look Like : Avoid Mouth Cancer In 2021 Alexandria Smiles - It's important to be aware of the symptoms of mouth cancer so you can contact your gp or dentist if you notice anything abnormal.
Dapatkan link
Facebook
X
Pinterest
Email
Aplikasi Lainnya
What Does Mouth Cancer Look Like : Avoid Mouth Cancer In 2021 Alexandria Smiles - It's important to be aware of the symptoms of mouth cancer so you can contact your gp or dentist if you notice anything abnormal.. Cancer is defined as the uncontrollable growth of cells that invade and cause damage to surrounding tissue. After the surgeon locates the tumor, a laser is used to divide the tumor into sections. Gum cancers may start out looking like a bump or a sore that does not heal. Oral cancer appears as a growth or sore in the mouth that does not go away. Oral cancer can affect the mouth including the gums, lips, tongue, mouth's roof, and floor and the inner cheeks.
A deep fissure containing a small ulcer erosion of the mucosa resulting in a raw superficial area Canker sores can be found anywhere in the mouth from the cheek, inner lip, on and under the tongue, and even in the throat. Health scotland and glasgow dental hospital learn more about reducing the risk of oral cancer The following are some characteristic features of how mouth cancers look for people wondering what does mouth cancer look like. A white or red patch inside your mouth or on your lips may.
How Dentists Can Screen For Mouth Cancer Dentistry Co Uk from www.dentistry.co.uk Glottic cancer begins in the vocal cords. Finding a sore in your mouth can be scary, and you may not know whether to schedule a professional evaluation or to take the. Cancer on the outer cheeks is considered skin cancer. In the early stages of tongue cancer, especially with cancer at the base of the tongue, you might not notice any symptoms. What are the symptoms of floor of mouth cancer? With no determined cause, mouth cancer in dogs has left even subject matter experts baffled. Gum cancers may start out looking like a bump or a sore that does not heal. According to the american cancer society, a red patch on your lip that becomes crusty, itchy, or bleeds is a warning sign.
Moreover, the discoloring of the lining of the mouth may also be a sign of cancer.
Cancer of the floor of mouth often looks like an ulcer and is painless. Mouth cancer usually presents with distinctive symptoms and features, such as red or white patches in the mouth, changes in oral tissue, or difficulty chewing or swallowing. These are the basic stages of mouth cancer: With no determined cause, mouth cancer in dogs has left even subject matter experts baffled. Some symptoms of mouth cancer are noticeable, that makes it possible to detect mouth cancer in its early stages. Canker sores can be found anywhere in the mouth from the cheek, inner lip, on and under the tongue, and even in the throat. According to the american cancer society, a red patch on your lip that becomes crusty, itchy, or bleeds is a warning sign. The appearance of feline oral cancer can vary significantly, depending on the type of cancer and how far advanced the cancer is. Patches on the lining of the mouth or tongue, usually red or red and white bleeding, pain, or numbness in the mouth mouth ulcers or sores that do not heal It's important to be aware of the symptoms of mouth cancer so you can contact your gp or dentist if you notice anything abnormal. The most common types of oral cancers in dogs are melanoma, squamous cell carcinoma and fibrosarcoma. Some of the signs are similar, including bleeding gums. Common signs or symptoms of lip cancer include visible irregularities in the skin on the lower lip.
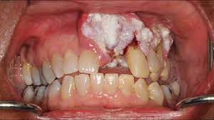
What some oral (mouth) cancers look like these photographs are not meant to scare you. They are typically round with a depressed center and may appear to be white, grey or yellow. Health scotland and glasgow dental hospital learn more about reducing the risk of oral cancer According to the american cancer society, a red patch on your lip that becomes crusty, itchy, or bleeds is a warning sign. Changes in the look and feel of the tissue on the floor of the mouth, such as a lump or a sore that doesn't heal, are often the first signs of floor of the mouth cancer.
6 Signs You Might Have Mouth Cancer from hips.hearstapps.com If you have a canker sore that doesn't heal within three weeks, you should see a dentist. The majority of mouth cancers begin in these cells. These are the basic stages of mouth cancer: It's important to be aware of the symptoms of mouth cancer so you can contact your gp or dentist if you notice anything abnormal. Glottic cancer begins in the vocal cords. The sore may be red or white and may look like a thickening of the gum. Oral tumors are relatively common in cats. Just to remind you about what some oral cancers look like.
They are typically round with a depressed center and may appear to be white, grey or yellow.
Floor of the mouth cancer most often begins in the thin, flat cells that line the inside of your mouth (squamous cells). The surgeon looks at the soft palate, through the mouth and nose, using a special instrument. Cancer is defined as the uncontrollable growth of cells that invade and cause damage to surrounding tissue. Patches on the lining of the mouth or tongue, usually red or red and white bleeding, pain, or numbness in the mouth mouth ulcers or sores that do not heal Cancer on the outer cheeks is considered skin cancer. Changes in the look and feel of the tissue on the floor of the mouth, such as a lump or a sore that doesn't heal, are often the first signs of floor of the mouth cancer. As with any disease of its kind, keeping informed can help you decipher what to do should a tumor linger in your dog's mouth, and even prevent it from. Symptoms and types of oral cancer in dogs. If they notice signs of a problem, they'll look carefully inside your mouth and throat, sometimes with a special lighted tool,. Often, by the time a patient sees a doctor for a diagnosis, the tumor has grown into the neck. Common signs or symptoms of lip cancer include visible irregularities in the skin on the lower lip. This is known as a smoker's patch. Health scotland and glasgow dental hospital learn more about reducing the risk of oral cancer
After the surgeon locates the tumor, a laser is used to divide the tumor into sections. It describes abnormal cells in the lining of the lips or oral cavity, which have the potential to become cancer. Canker sores can be found anywhere in the mouth from the cheek, inner lip, on and under the tongue, and even in the throat. Picture of squamous cell carcinoma of the cheek Health scotland and glasgow dental hospital learn more about reducing the risk of oral cancer
5 Ways To Self Examine For Oral Cancer Ocoee Oral Surgery from www.ocoeeoralsurgery.com According to the american cancer society, a red patch on your lip that becomes crusty, itchy, or bleeds is a warning sign. As with any disease of its kind, keeping informed can help you decipher what to do should a tumor linger in your dog's mouth, and even prevent it from. Hypopharyngeal cancer (laryngopharyngeal cancer) begins in the hypopharynx (laryngopharynx) — the lower part of your throat, just above your esophagus and windpipe. Mouth cancer on your gums can sometimes be mistaken for gingivitis, a common gum inflammation. The outer rim of the canker sore is typically red. Here are some symptoms you can look for, options for treatment and the life expectancy for dogs with mouth cancer. An ulcer that starts bleeding when touched, having rolled edges and a crater in the centre. The following are some characteristic features of how mouth cancers look for people wondering what does mouth cancer look like.
The following are some characteristic features of how mouth cancers look for people wondering what does mouth cancer look like.
An ulcer that starts bleeding when touched, having rolled edges and a crater in the centre. Some symptoms of mouth cancer are noticeable, that makes it possible to detect mouth cancer in its early stages. A deep fissure containing a small ulcer erosion of the mucosa resulting in a raw superficial area Here are some symptoms you can look for, options for treatment and the life expectancy for dogs with mouth cancer. As with any disease of its kind, keeping informed can help you decipher what to do should a tumor linger in your dog's mouth, and even prevent it from. Picture of squamous cell carcinoma of the cheek Common signs or symptoms of lip cancer include visible irregularities in the skin on the lower lip. Hypopharyngeal cancer (laryngopharyngeal cancer) begins in the hypopharynx (laryngopharynx) — the lower part of your throat, just above your esophagus and windpipe. These are the basic stages of mouth cancer: Cancer is defined as the uncontrollable growth of cells that invade and cause damage to surrounding tissue. Health scotland and glasgow dental hospital learn more about reducing the risk of oral cancer The surgeon looks at the soft palate, through the mouth and nose, using a special instrument. How common is mouth cancer in cats?
Posted by admin pat 5 november 2021, 13:05. 15.11.2021 · arsenal predicted line up vs manchester united: 20.11.2021 · how arsenal's opposition could line up for saturday's premier league clash at anfield with mikel arteta looking to move his side into the top four. Not our best performance but arsenal clinch all three points. Top 5 players arsenal should sign this summer 2022. 42 Most Inspiring Positive Thoughts For A Positive Day from www.gravetics.com Not our best performance but arsenal clinch all three points. Stay up to date with arsenal fc news and get the latest on match fixtures, results, standings, videos, highlights, and much more. Click to play tap to play. 20.11.2021 · how arsenal's opposition could line up for saturday's premier league clash at anfield with mikel arteta looking to move his side into the top ...
Is Vomiting A Sign Of Cancer In Dogs / Lymphoma in Dogs | Symptoms and Treatment : Persistent pain or pressure in the chest. . Pneumonia is usually caused by infection with viruses or bacteria and less commonly by other microorganisms. But the fact is that one in three dogs will eventually develop some form of cancer during their that's why it's so important to learn the most common signs of cancer in dogs. Sadly, cancer can cause just about any symptom in dogs. The reasons may differ, of course. In a senior that starts vomiting, your first thought might be stomach cancer in dogs. Knowing the signs that your dog has reached the final stage of cancer can help you make it as comfortable and pleasant as possible before that inevitable moment arrives. In a senior that starts vomiting, your first thought might be stomach cancer in dogs. Often, cancer itself causes our friends to the signs of nausea can be subtle, and not everyone picks them up. In other dogs, sig...
How Do I Know If My Breast Cancer Has Spread To My Bones / Living With Stage 4 The Breast Cancer No One Understands - Some common signs of metastatic cancer include: . While breast cancer can metastasize to any bone in the body, it most commonly spreads to the spine, pelvis, ribs, and long bones of the arms and legs (humerus and femur). All they can do is treat the symptoms. Cancer has reached distant organs or tissues. Breast cancer is linked to poor oral health and gum disease. Bone metastases are not bone cancers. Osteoblastic, if there are too many new bone cells (this often happens with metastasized prostate cancer) osteolytic, if too much bone is destroyed (this often happens. Sometimes the bone may be weak enough to break, but. Bone metastases are not bone cancers. I tested neg for brca; There may be no sign of cancer in the breast or, if there is a tumor, it may be any size and may have spread to the chest wall and/or the skin of the breast and the cancer has...
Komentar
Posting Komentar